牙齿不够洁白,甚至又黄又黑的牙齿总会让人看着不舒服, 影响个人的形象,不过目前的牙齿变色是有很多的原因的, 其中就包括外因性的色素牙,那么什么是外因性的色素牙呢 ?
什么是外因性的色素牙呢 ?
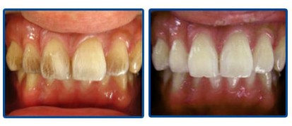
极光专家表示:外因性是因为牙齿表面存在着多种细菌,慢慢分泌出许多黏性物质。常常都是因为在日常饮食中的茶垢、烟渍以及饮用水中的某些矿物质吸附在这些黏性物质上,经过岁月就会逐渐的使牙齿变黄或变黑的情况。

对于外因性色素牙的牙齿来说,罪魁祸首就是咖啡、茶、抽 烟。那么要治疗的话,就要根据牙齿颜色的深浅,所形成的原因而去应采取不同的方式进而美白改善情况。
【外因性色素牙怎么美白】
目前对于外因性的色素牙更好的美白办法就是做美白和美瓷冠,当然这两种方法只适用于成年人。目前美白主要是解决比较严重的咖啡牙,茶渍牙,烟渍牙。而美瓷冠技术主要是解决人们的内源性的牙齿着色。
【温馨提示】
对于大部分现在采用美白偏方的一些朋友来说,极光专家想要提醒大家牙齿美白选对方法很重要。传统偏方不能够美白牙齿,只有去医院做专业的牙齿美白才可以美白牙齿。如果您对此还有任何疑问,欢迎点击在线咨询或者拨打我们的免费爱牙热线028-87789778,我们的在线专家会一对一为您答疑解惑。


